【京都水族館】ハンドウイルカ「テン」妊娠のお知らせ
オリックス株式会社

2026年7月上旬に出産を予定
京都水族館(所在地:京都市下京区、支配人:坂野 一義)は、当館で飼育するハンドウイルカの「テン」の妊娠が判明しましたのでお知らせします。
[画像1]https://digitalpr.jp/simg/2255/126509/700_441_20260119140056696dba8868bbf.jpg
ハンドウイルカ「テン」
[画像2]https://digitalpr.jp/simg/2255/126509/700_463_20260119140111696dba974c959.jpg
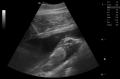
超音波検査の胎仔のようす
「テン」の妊娠については、2025年9月初旬に、体調管理のため定期的に行っている血液検査で兆候が示され、その後の超音波検査により胎仔の動きを確認しました。現在、妊娠6カ月を経過し、2026年7月上旬に出産を迎える予定です。なお、父親については、赤ちゃんの誕生後にDNA検査を行い特定する予定です。
当面、イルカプログラム「イルカのがっこう」は「テン」の体調を最優先に考慮しながら継続します。ただし、6月以降は安心して出産を迎えられる環境を整えることを優先し、イルカプログラムの休止やイルカスタジアムの封鎖を予定しています。
なお、「テン」は今回初めての妊娠・出産となります。イルカの繁殖は、仔獣が順調に成長することが難しいとされる一方で、当館では、2022年9月30日に「キア」が男の子の「ツムギ」を出産しており、2025年9月に3歳を迎えることができました。当館では、今後も飼育や繁殖・育成の経験を生かすとともに、専門家や他園館の協力を得ながら、「テン」の出産に向けて万全の体制で準備を進めてまいります。
元気な赤ちゃんの誕生に向け、引き続き皆さまのご理解と温かいご声援を賜りますよう、よろしくお願いいたします。
【妊娠個体について】
個体名:テン
出産予定日:2026年7月上旬
年齢(推定):16歳(出産時は17歳)※2011年12月22日に京都水族館での飼育を開始
※京都水族館はオリックスグループです。
本件に関するお問合わせ先
京都水族館 企画広報チーム 杉山・吉永
TEL:075-354-3116 MAIL:press-kyoto@orix-aqua.co.jp
関連リンク
京都水族館
https://www.kyoto-aquarium.com/index.html
オリックス不動産 水族館運営事業
https://www.orix-realestate.co.jp/business/facility_operation/aquarium.html

記事提供:Digital PR Platform