Butterfly glioblastomaの発生起源の解明~大脳半球発生なのか?~--北里大学
北里大学

北里大学医学部脳神経外科の柴原一陽講師、隈部俊宏教授らの研究グループは、butterfly glioblastomaの発生起源が大脳半球のみならず脳梁からも発生しうることを、自験例と公共データベースを用いた画像解析や分子学的解析で明らかにしました。この研究成果は、2024年10月23日付で、Neuro-Oncology Advancesに掲載されました。
■研究成果のポイント
・Butterfly glioblastomaには大脳半球発生タイプと脳梁発生タイプが存在する
・脳梁発生タイプは予後不良である
・脳梁発生タイプにはMGMTプロモーター領域のメチル化が高頻度に認められる
■研究の背景
膠芽腫 (glioblastoma)は、浸潤能の極めて高い、脳原発悪性腫瘍です。手術・放射線治療・化学療法を用いても、依然として全生存期間中央値は1年半に達していません。その中で、特に予後不良と呼ばれる腫瘍形式にbutterfly glioblastomaが挙げられます。両側大脳半球に広がる形状が「蝶」の様に見えることから命名されました。これまでbutterfly glioblastomaの予後が不良であることや、手術の意義を論じた報告はあるものの、その進展様式や発生起源に注目した報告はありません。世界保健機構の2021年度版脳腫瘍分類のbutterfly glioblastomaに関する記載を見ても"glioblastomas are usually unilateral, but they can cross the corpus callosum and be bilateral"とあり、それを支持する引用文献はありません。即ち、「大脳半球発生の膠芽腫が時として脳梁を介して対側進展する結果butterfly glioblastomaになること」、が疑問の余地のない自明なこととして記載されており、脳梁はあくまでも対側進展するための通り道である、と理解されています。
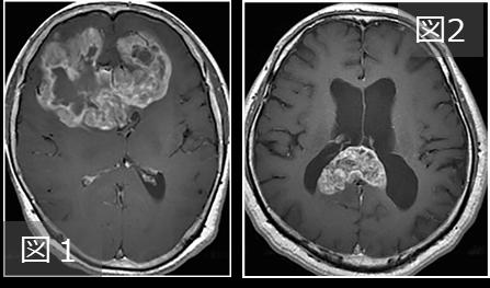
図1はbutterfly glioblastomaの典型像で、両側前頭葉に腫瘍進展しています。脳腫瘍分類に記載の通り、片側大脳半球に起源を有し脳梁を介して対側進展している、ことに矛盾しません。一方で、図2は大脳半球に腫瘍成分がなく、脳梁に限局しています。即ち、図2の症例は脳腫瘍分類の記載に合致しないことになります。そこで、butterfly glioblastomaは一様な腫瘍ではないのでは、という疑問が生じました。
■研究内容と成果
本疑問を解きうる画像が図3になります。脳梁に限局した異常信号が認められ、3か月後にbutterfly glioblastomaに変化していますが、腫瘍成分は脳梁に限局しています。即ち、腫瘍進展を解き明かしうる経時的画像を偶然にも取得できたことで、butterfly glioblastomaが脳梁からも発生しうるのだ、という着想に至りました。確かに、脳梁発生のglioblastomaが存在するのであれば、図2の症例に大脳半球成分がないことの説明がつきます。
【解析対象】Glioblastomaは10万人に6人未満の希少がんになります。さらに、butterfly glioblastomaは、膠芽腫例全体の1割弱の頻度であり、その希少性から解析対象の十分な取得が困難でした。まず、脳梁発生の仮説を検証するために、344例のglioblastoma自験例から34例のbutterfly glioblastomaを抽出しました。しかし、それだけでは症例数が十分でなく、976例のglioblastoma公共データベース(TCGA-GBM, CPTAC-GBM, IvyGAP, UPENN-GBM)から、臨床データ、分子データ、そして腫瘍体積データの全てが取得可能な425例を抽出し、その中から46例のbutterfly glioblastoma例を抽出し解析対象としました。
【画像解析】図3の様な、経時的画像が全例で得られれば、発生起源がどこであるか1例1例明確に結論付けることができます。実際には、経時的画像の取得はわずか4例で、脳梁発生を示唆するものは図3の1例、大脳半球発生を示唆するものは3例でした。そこで、解析対象となる全80例の各症例において、腫瘍体積を、脳梁部分と大脳半球部分に分けることで、どちらの領域に腫瘍の主体積が存在するかを計算しました。脳梁部体積が腫瘍全体積の50%以上の場合を脳梁タイプ (CC-type, corpus callosum-type)、50%未満を大脳半球タイプ (Hemispheric-type)に分類すると、脳梁タイプの予後が有意に不良であることがわかりました。
【マルチサンプリング解析】手術時にマルチサンプリングが6例で可能でありました。画像解析で大脳半球タイプであった3例のうち2例で、大脳半球腫瘍に比し脳梁部腫瘍で遺伝子変異の蓄積を認め、分子学的に大脳半球から脳梁方向に進展していることが示唆されました (代表例図4A)。一方で、画像解析で脳梁タイプであった3例全例で、大脳半球と脳梁の変異が同じでマルチサンプリングで進展方向を示唆することはできませんでした (図4B)。
【分子学的解析】Glioblastomaに高頻度に認められるTERT, EGFR, CDKN2A, PTENといった変異の頻度は両タイプで有意差を認めませんでした。しかしながら、MGMTプロモーター領域のメチル化は有意に脳梁タイプで高率であることがわかりました。
■今後の展開
本研究で、butterfly glioblastomaには少なくとも2つのサブタイプがあり、発生起源に注目することで、これまでの理解通りの大脳半球からの発生タイプに加えて、脳梁から発生するタイプの存在を示唆することができました。また、予後不良とされるbutterfly glioblastomaの中に、さらに予後不良な脳梁タイプが存在し、分子学的にも大脳半球タイプと異なることを示唆できました。同時期に、butterfly glioblastomaに対する手術手技の報告も我々のグループから出しています (Shibahara et al., World Neurosurg 180:110, 2024)。本研究では次世代シーケンス解析を用いた網羅的な検討は行っていません。今後の検証により、発生起源の同定を可能とするKeyとなる分子が見つかることを期待します。少なくとも、本研究では、一元的に説明できない事象に対し、新たな視点で解析し結論を導けたことが本研究分野において重要な知見であると考えます。
■論文情報
【掲載誌】Neuro-Oncology Advances
【論文名】Radiological, clinical, and molecular analyses reveal distinct subtypes of butterfly glioblastomas affecting the prognosis
【著 者】Ichiyo Shibahara, Ryota Shigeeda, Takashi Watanabe, Yasushi Orihashi, Yoko Tanihata, Kazuko Fujitani, Hajime Handa, Yuri Hyakutake, Mariko Toyoda, Madoka Inukai, Kohei Uemasu, Mitsuhiro Shinoda, Hideto Komai, Sumito Sato, Takuichiro Hide, Toshihiro Kumabe
【DOI】
https://doi.org/10.1093/noajnl/vdae180
・本研究はJSPS科研費 (18K16569 and 22K09291)、SRL、横山臨床薬理、金原一郎記念医学医療振興財団、赤枝医学研究財団、上原記念生命科学財団、武田科学振興財団、大樹生命厚生財団、All Kitasato Project Studyの助成を受けたものです。
■用語解説
※ 脳梁 (英語名:Corpus callosum)
両側大脳半球を繋ぐ交連線維
■問い合わせ先
≪研究に関すること≫
北里大学医学部脳神経外科
講師 柴原一陽
e-mail:shibahar@med.kitasato-u.ac.jp
≪取材に関すること≫
学校法人北里研究所 総務部広報課
〒108-8641東京都港区白金5-9-1
TEL:03-5791-6422
e-mail:kohoh@kitasato-u.ac.jp
【リリース発信元】 大学プレスセンター
https://www.u-presscenter.jp/




記事提供:Digital PR Platform