キンギョにおける”松かさ病”について、原因菌の特定と病理組織学的に調べた内容を学会で発表
ジェックス株式会社

アクアリウム用品シェアNo.1*のジェックス株式会社(大阪府東大阪市、代表取締役社長:五味 宏樹)が、東海大学 泉庄太郎教授と共に、松かさ病を発症したキンギョから細菌をサンプリングしどのような細菌に感染しているのか、キンギョの体内ではどのような異変が起きているのかの研究結果の発表を行いました。
キンギョを飼育していると、徐々に体の鱗(うろこ)が開き始め、まるで松ぼっくりのような姿になりそのまま衰弱していく通称”松かさ病”が見られることがあります。松かさ病は一度罹ると治癒が難しく、多くの飼育者様を悩ませている魚の病気になります。
[画像1:
https://prcdn.freetls.fastly.net/release_image/117602/35/117602-35-c19aea13dcb7c63846c7c7d04edaa7fc-1751x985.jpg?width=536&quality=85%2C75&format=jpeg&auto=webp&fit=bounds&bg-color=fff ]
図1.松かさ病を発症したランチュウ
その結果、鱗の基底部にある鱗嚢(りんのう)に水が溜まり浮腫が起きている様子や、腎臓での異変、また卵巣や鰓でもそれぞれ異常が確認できました。
また、ほとんどの松かさ病キンギョの筋肉や腎臓から運動性エロモナス属菌の一種であるAeromonas veroniiが確認されました。しかし、その菌が確認できない疾病魚も存在し、研究を継続する必要があります。
魚病の教科書には松かさ病について運動性エロモナス属菌の一種であるAeromonas hydrophilaが原因菌とされていますが、松かさ病発症キンギョからA.hydrophilaが確認されなかった例があり、いまだにはっきりとした原因が分かっていません。また、近年では国内において松かさ病の研究がほとんど行われていません。
ジェックスラボラトリーでは、松かさ病だけではなく、愛魚が病気で苦しまない商品開発につなげるため、今後も研究を続けてまいります。
本研究は、令和7年度日本水産学会秋季大会にて発表しました。発表内容を下記に紹介します。
水産事業においては多くの魚病が知られており、近年でも治療、予防のための研究が積極的に行われています。しかし、キンギョをはじめとする観賞魚の分野では市場が小さいこともあり、研究事例が少ないのが現状です。特に鱗が逆立った姿から松かさ病(立鱗病)と呼ばれる魚病については、運動性エロモナス属細菌のAeromonas hydrophila等由来の魚病だとされていますが、発症原因に不明な点も多いです。そこでジェックスは観賞魚飼育用品メーカーとして松かさ病の原因を明らかにするため、病理組織学的観察を実施しました。
奈良県にあるキンギョの養魚場から松かさ病発症個体をサンプリングし、麻酔処理後、解剖、各組織の観察を実施しました。筋肉、腎臓、腹腔内液から培地を用いて菌を単離し16SrRNAシーケンス解析により菌種の同定を行いました。また筋肉、腎臓は各種薬品・パラフィンを用いて固定し、組織切片を作成し顕微鏡での観察、健全魚との比較を行いました。
結果、各組織から単離した菌種はキンギョの個体によって異なりましたが、運動性エロモナス属細菌のA. veroniiが多い傾向にありました。しかし、A. veronii株の中でも供試個体により遺伝子配列に変異が見られ、今後の研究でさらに詳細な分類が必要になる可能性が示唆されました。
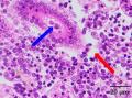
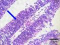
また、病理組織切片を観察すると体表では鱗嚢浮腫が確認され、腎臓では腎小体や細尿管の異常がみられました。(図2,3)
[画像2:
https://prcdn.freetls.fastly.net/release_image/117602/35/117602-35-255cdc096f11b4251c143d3ba0200615-956x716.jpg?width=536&quality=85%2C75&format=jpeg&auto=webp&fit=bounds&bg-color=fff ]
図2.松かさ病キンギョの体表で見られた鱗嚢浮腫青矢印:鱗 赤矢印:体表 鱗と体表の隙間が目立つ(HE染色、顕微鏡倍率×400)
[画像3:
https://prcdn.freetls.fastly.net/release_image/117602/35/117602-35-898a5c45698108ee3e61d2dfe52d2791-718x538.jpg?width=536&quality=85%2C75&format=jpeg&auto=webp&fit=bounds&bg-color=fff ]
図3.松かさ病キンギョの腎臓で見られた異常青矢印:再尿管内の異物 赤矢印:腎臓内組織での浮腫のようなもの(HE染色、顕微鏡倍率×400)
他にも卵巣や鰓での異常も確認できました。(図4,5)
[画像4:
https://prcdn.freetls.fastly.net/release_image/117602/35/117602-35-0a3dc6084bc504697f2ef81777a94493-960x720.jpg?width=536&quality=85%2C75&format=jpeg&auto=webp&fit=bounds&bg-color=fff ]
図4.松かさ病キンギョの卵巣で見られた異常青矢印:一次卵母細胞の莢膜細胞の剥離 赤矢印:二次卵母細胞の莢膜細胞の重層化(HE染色、顕微鏡倍率×400)
[画像5:
https://prcdn.freetls.fastly.net/release_image/117602/35/117602-35-5cb4ce226f12ee0327980a05d463dbc6-960x720.jpg?width=536&quality=85%2C75&format=jpeg&auto=webp&fit=bounds&bg-color=fff ]
図5.松かさ病キンギョの鰓で見られた異常青矢印:二次鰓弁の棍棒化(HE染色、顕微鏡倍率×400)
引き続き松かさ病発症個体のサンプリングを継続し、詳細な感染菌の特定を行う予定です。また、水温や水質などの外部要因を絡めた松かさ病の再現を確認し、予防・治療に有効な商品開発に向けた検討を加速させていきます。
[画像6:
https://prcdn.freetls.fastly.net/release_image/117602/35/117602-35-0e6904b8e52395ceda312b4d946e2078-2004x2672.jpg?width=536&quality=85%2C75&format=jpeg&auto=webp&fit=bounds&bg-color=fff ]
図6.学会での発表の様子
研究結果は
こちらより
*(株)富士経済「2023年ペット市場マーケティング総覧」水槽/周辺器具/水質調整剤 トータル・メーカーシェア 2022(実績)
プレスリリース提供:PR TIMES





記事提供:PRTimes